為什麼植牙需要補骨
“並非所有植牙手術都一定需要補骨,但若齒槽骨地基的大小不夠的話補骨就是必須的,且新生成的骨頭需要額外的癒合時間”
許多患者會有疑問,例如聽到別人的植牙不需要補骨粉就可以做好,為什麼我植牙的就需要?依照過往的實證醫學案例以及臨床經驗,夠寬大的齒槽骨才能為人工牙根提供較良好的地基,可以用蓋房子來想像,倘若建築物的鋼骨打在不夠厚實的地方,這棟房子未來的堅固程度可能會令人擔憂。
想當然實際上的原理沒有這麼簡單,牽涉的原因遠大於物理上的固位性,更重要的因素是生理上的因素,每個人工牙根植入顎骨內後都需要經歷一段骨整合的過程,這個過程就像是我們灌溉農作物一般,需要時間也需要肥沃的土壤,若操之過急的話反而會讓植體長久的品質受到影響,千萬不可以揠苗助長!

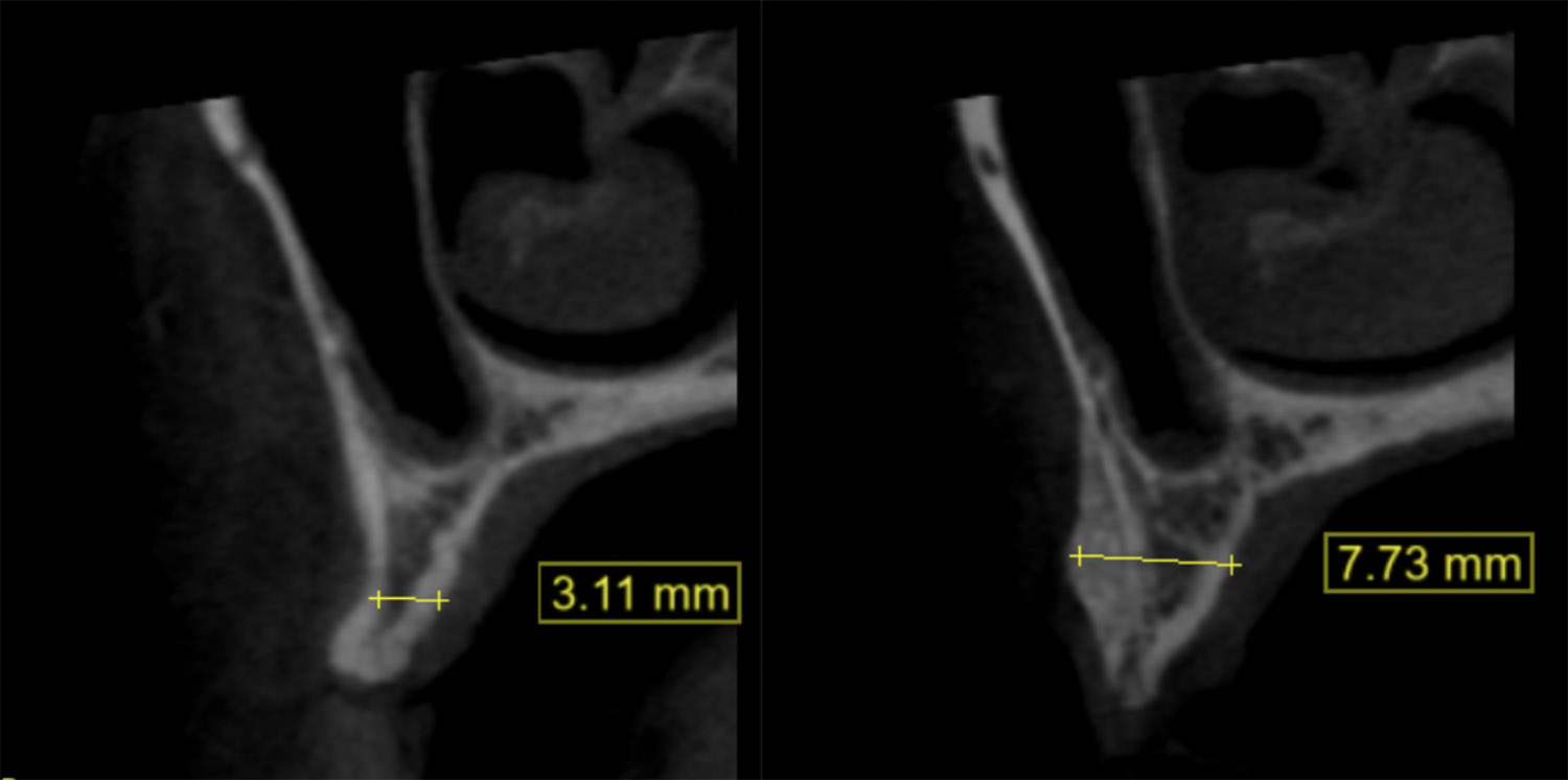
左圖代表的是補骨手術前的電腦斷層圖,可以看到最窄的部分寬度只有約3釐米,右圖是補骨手術後6個月的電腦斷層圖,骨頭的寬度有顯著的成長到7釐米,為後續的植牙品質提供良好的保障。


