林益德牙醫師|美國牙周病暨植牙專科

微笑曲線

Smile Design

SERVICES

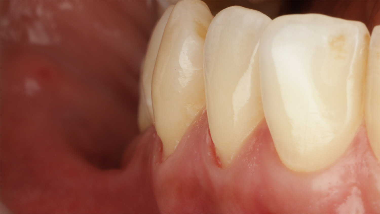
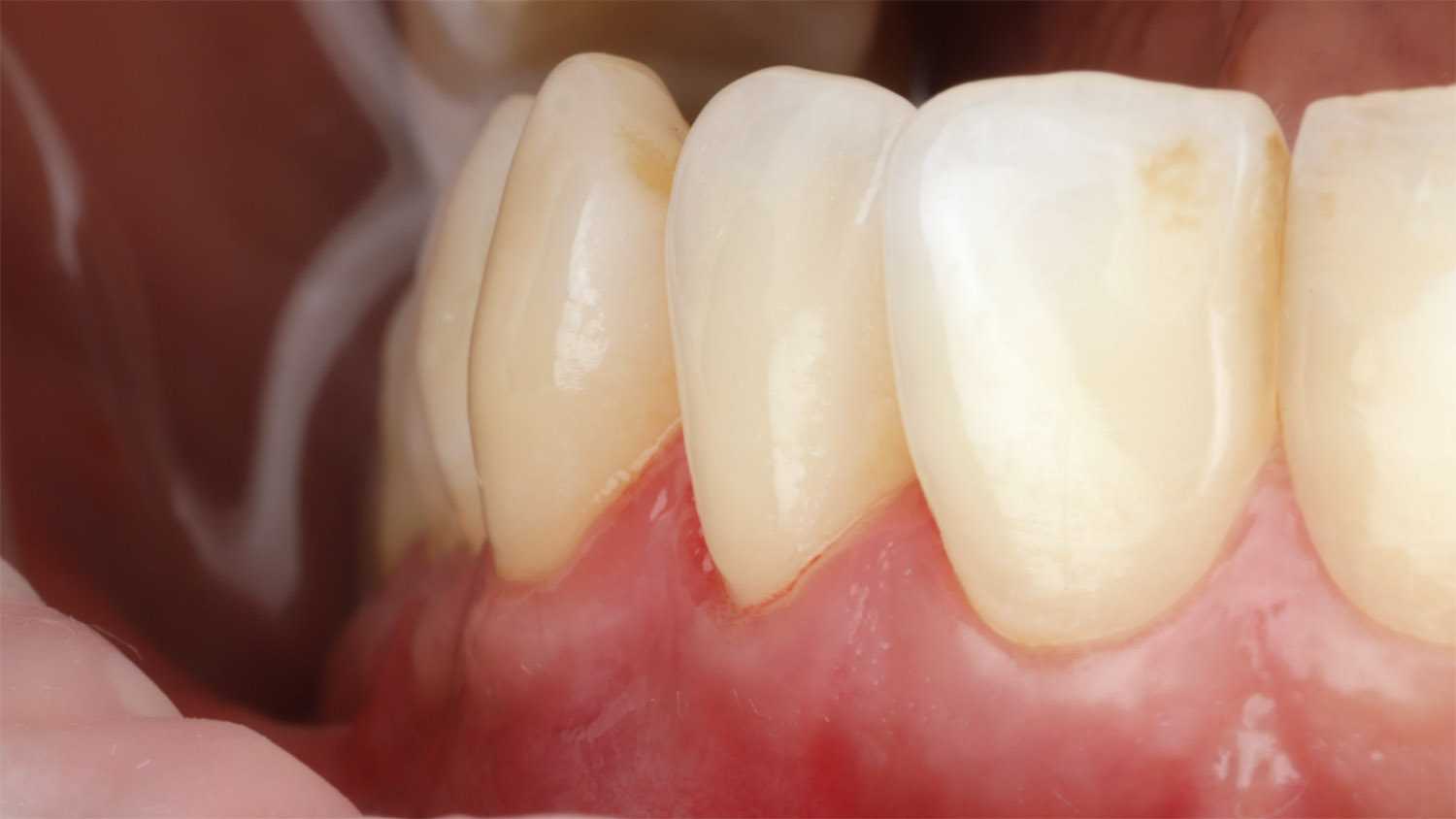
牙根覆蓋術

修復牙齦萎縮的失土

牙齦萎縮的原因有很多,如果意識到自己的牙齦開始出現變化讓牙齒看起來越來越長,那可能代表的是原本被覆蓋的牙根開始裸露了,在適當情況下牙根覆蓋術可以有效修復

  • 牙根覆蓋術術前

  • 牙根覆蓋術術後

SERVICES

牙齦微整形

微創去除不健康且不美觀的牙肉

牙齦若不正常增生造成發炎及美觀問題,可以透過微創的水雷射或手術處理來恢復牙齦的美觀和健康

  • 牙齦微整形術前

  • 牙齦微整形術後

SERVICES

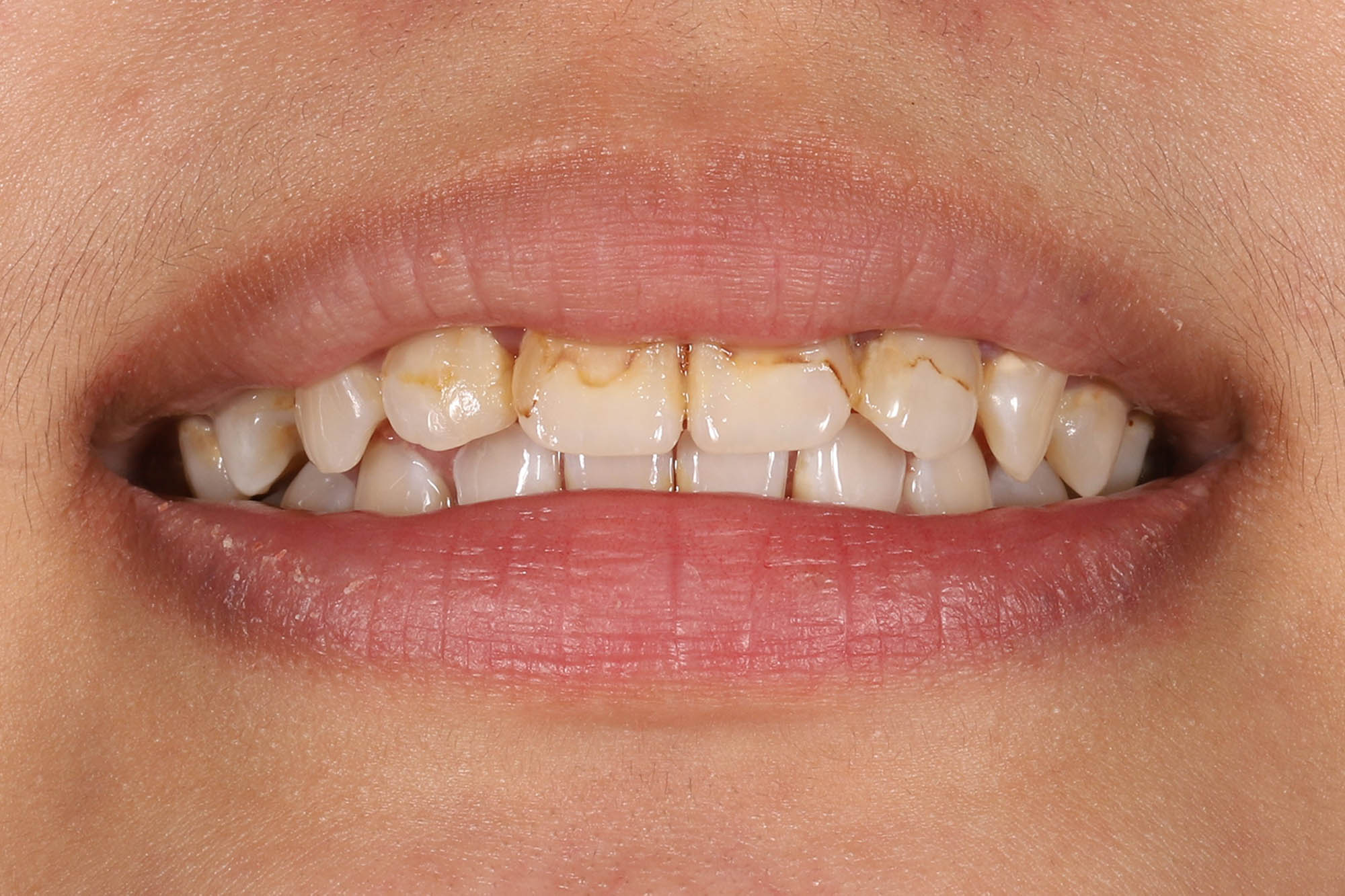
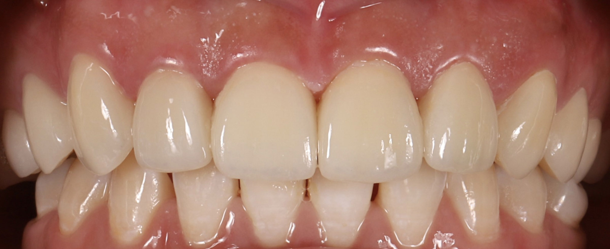
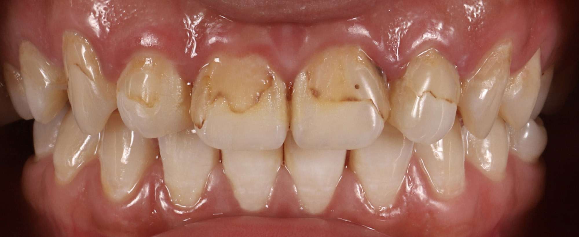
全瓷美學貼片

客製化您想要的亮麗齒色與外型

全瓷美學貼片是一種透過微量修磨牙齒後,客製化製作陶瓷貼片的技術,可根據個人期望調整顏色和牙齒形狀。與其他美白方式相比,這種方式不僅效果更持久,且穩定性更佳。

全瓷貼片術前1

全瓷貼片術後1

全瓷貼片術前2

全瓷貼片術後2

© Copyright - 林益德醫師
- design by Morcept